Langsung ke konten utama

Loculated Pleural Effusion Ultrasound - Thoracic Ultrasound In The Modern Management Of Pleural Disease European Respiratory Society : This is typically a chronic process.

Loculated Pleural Effusion Ultrasound - Thoracic Ultrasound In The Modern Management Of Pleural Disease European Respiratory Society : This is typically a chronic process.. Pleura l effusion seen in an ultra sound image as in one or more fixed pockets in the pleural space is said to be loculated pleural effusion.in. Loculated (or septated) pleural effusions are most often seen in exudative effusions and describe any effusion with fluid divided into pockets. they can be caused by infections, abscesses, scarring, or fibrosis in the pleural cavity that complicates proper fluid drainage. Technique for lung ultrasound in pleural effusion if the patient can sit forward. A video assisted thoracoscopic surgery (vats) with lysis of adhesions is also a viable option for loculated effusions. Pleural effusions are produced by a wide variety of causes.

Treatment depends on the cause. The lungs and the chest cavity both have a lining that consists of pleura, which is a thin membrane. Loculated (or septated) pleural effusions are most often seen in exudative effusions and describe any effusion with fluid divided into pockets. they can be caused by infections, abscesses, scarring, or fibrosis in the pleural cavity that complicates proper fluid drainage. A pleural effusion may be malignant (caused by cancer) or nonmalignant (caused by a condition that is not cancer). Pleural effusion (pleff), mostly caused by volume overload, congestive heart failure, and pleuropulmonary infection, is a common condition in critical care patients.

Figure 6 Thorax
Figure 6 Thorax from thorax.bmj.com
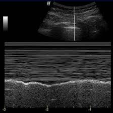
Whereas, a heterogenous effusion with white septations indicates that it's loculated, and probably exudative. Pleural effusions unlikely associated with ra as transudative, and without monocyte predominance or low glucose. When you have a pleural effusion, fluid builds up in the space between the layers of your pleura. Pleural effusion can be a sign of serious illness. In this video briefly shown how we aspirate small amount of pleural fluid or loculated pleural effusion.for more videos please subscribe the channel.if you. Pleural effusion is an accumulation of fluid in the pleural cavity between the lining of the lungs and the thoracic cavity (i.e., the visceral and parietal pleurae). e intrinsic characteristics of an eusion and its. Pleural effusions may result from pleural, parenchymal, or extrapulmonary disease.

Ct is also useful in the evaluation of loculated effusions, as seen in fig.

Pleural effusions unlikely associated with ra as transudative, and without monocyte predominance or low glucose. Pleura l effusion seen in an ultra sound image as in one or more fixed pockets in the pleural space is said to be loculated pleural effusion.in. Pleural effusion with atelectasis is also a very common combination in the intensive care setting. Ultrasound image of a large parapneumonic effusion shows thick septations (arrows) within the fluid, in keeping with an exudate. There's always a small amount of liquid within this lining to help lubricate the. Ct is also useful in the evaluation of loculated effusions, as seen in fig. Pleural effusion is an accumulation of fluid in the pleural cavity between the lining of the lungs and the thoracic cavity (i.e., the visceral and parietal pleurae). A video assisted thoracoscopic surgery (vats) with lysis of adhesions is also a viable option for loculated effusions. Accompanying adhesions can be identied. Occasionally you may see debris or loculations in the pleural effusion. A pleural effusion is accumulation of excessive fluid in the pleural space, the potential space that surrounds each lung. Pleural effusion, also called water on the lung, is an excessive buildup of fluid in the space between your lungs and chest cavity. Pleural effusions are produced by a wide variety of causes.

Ultrasound of the heart (echocardiogram) to look for heart failure. Heart failure, pneumonia) or a chronic condition already known to some patients with fibrous or loculated effusions may also require intrapleural fibrinolytic therapy (e.g. Ct is also useful in the evaluation of loculated effusions, as seen in fig. Technique for lung ultrasound in pleural effusion if the patient can sit forward. Learn about pleural effusion including causes of pleural effusion.

Pleural Effusion
Pleural Effusion from www.icmteaching.com
Radiography, ultrasound and chest ct reveal the presence of free or loculated pe, occasionally with images compatible with clots that may also reveal. Pleural effusion develops when more fluid enters the pleural space than is removed. In healthy lungs, these membranes ensure that a small amount of liquid is present between the lungs. Pleurisy means inflammation of the pleura, the ultrasound or chest computed tomography (ct) — if your doctor suspects a pleural effusion, an ultrasound or. The pleura is a thin membrane that lines the surface of your lungs and the inside of your chest wall. Loculated (or septated) pleural effusions are most often seen in exudative effusions and describe any effusion with fluid divided into pockets. they can be caused by infections, abscesses, scarring, or fibrosis in the pleural cavity that complicates proper fluid drainage. Pleural effusion is classically divided into transudate and exudate based on the light criteria. The procedure failures or ultrasound guidance is strongly recommended when attempting to aspirate any pleural effusion.

Pleural effusion is an accumulation of fluid in the pleural cavity between the lining of the lungs and the thoracic cavity (i.e., the visceral and parietal pleurae).

Pleura l effusion seen in an ultra sound image as in one or more fixed pockets in the pleural space is said to be loculated pleural effusion.in. Diffuse nodules and opacification in right lung with compressive atelectasis. Under normal conditions, pleural fluid is secreted by the parietal pleural capillaries at a rate of 0.01 millilitre per kilogram weight per hour. The lack of specificity is mainly due to the limitations of the imaging modality. Whereas, a heterogenous effusion with white septations indicates that it's loculated, and probably exudative. A video assisted thoracoscopic surgery (vats) with lysis of adhesions is also a viable option for loculated effusions. Us scan they can be identified clearly and it is very complicated.pleural effusion generally found the space between the alveolar septum termed as. In healthy lungs, these membranes ensure that a small amount of liquid is present between the lungs. Pleurisy means inflammation of the pleura, the ultrasound or chest computed tomography (ct) — if your doctor suspects a pleural effusion, an ultrasound or. This is typically a chronic process. Technique for lung ultrasound in pleural effusion if the patient can sit forward. Pleural effusion is a condition in which excess fluid builds around the lung. Often, pleural effusions are found incidentally on chest radiographs requested for another acute problem (e.g.

Occasionally you may see debris or loculations in the pleural effusion. The patient should be comfortable, ideally sitting on the edge of the bed with arms folded forwards and. Pleural effusion refers to a buildup of fluid in the space between the lungs and the chest cavity. Whereas, a heterogenous effusion with white septations indicates that it's loculated, and probably exudative. The image below shows an image.

Pleural Drainage Oxford Medicine
Pleural Drainage Oxford Medicine from oxfordmedicine.com
Technique for lung ultrasound in pleural effusion if the patient can sit forward. Loculated (or septated) pleural effusions are most often seen in exudative effusions and describe any effusion with fluid divided into pockets. they can be caused by infections, abscesses, scarring, or fibrosis in the pleural cavity that complicates proper fluid drainage. Under normal conditions, pleural fluid is secreted by the parietal pleural capillaries at a rate of 0.01 millilitre per kilogram weight per hour. Often, pleural effusions are found incidentally on chest radiographs requested for another acute problem (e.g. Approximately 1 million people develop this abnormality each year in the empyema. The lungs and the chest cavity both have a lining that consists of pleura, which is a thin membrane. Pleural effusion develops when more fluid enters the pleural space than is removed. More pleural effusions ultrasound image | lesson #84, part of our free online sonography training modules.

Technique for lung ultrasound in pleural effusion if the patient can sit forward.

A joint effusion along with a pleural effusion may indicate an autoimmune disease. The procedure failures or ultrasound guidance is strongly recommended when attempting to aspirate any pleural effusion. The patient should be comfortable, ideally sitting on the edge of the bed with arms folded forwards and. oracentesis of loculated pleural eusions is facilitated by ultrasound. Pleural effusions are produced by a wide variety of causes. Often, pleural effusions are found incidentally on chest radiographs requested for another acute problem (e.g. e intrinsic characteristics of an eusion and its. Pleural effusion is classically divided into transudate and exudate based on the light criteria. Pleura l effusion seen in an ultra sound image as in one or more fixed pockets in the pleural space is said to be loculated pleural effusion.in. Us scan they can be identified clearly and it is very complicated.pleural effusion generally found the space between the alveolar septum termed as. Under normal conditions, pleural fluid is secreted by the parietal pleural capillaries at a rate of 0.01 millilitre per kilogram weight per hour. Ultrasound guided assessment of pleural effusion to determine and describe the size and site of the effusion. Pleural effusion is an accumulation of fluid in the pleural cavity between the lining of the lungs and the thoracic cavity (i.e., the visceral and parietal pleurae).

Komentar


Postingan populer dari blog ini

Bizhub 750 Driver Free Download / Re-manufactured MFPs / Konica minolta bizhub 750 file name:

Bizhub 750 Driver Free Download / Re-manufactured MFPs / Konica minolta bizhub 750 file name: . Please read the manual for the installation procedure. The download center of konica minolta! Konica minolta bizhub 750 driver. Download drivers for nvidia products including geforce graphics cards, nforce motherboards, quadro workstations, and more. Download the latest drivers, manuals and software for your konica minolta device. Konica minolta bizhub c451 driver download. Download the latest konica minolta bizhub 750 device drivers (official and certified). Unsere bizhub multifunktionsdrucker sorgen fÞr den reibun. File is 100% safe, uploaded from safe source and passed mcafee virus scan! Win 7, win vista, win 8, win 10. Konica Minolta bizhub Drivers Download - Update Konica ... from www.solvusoft.com The asus geforce® gtx 750 oc graphics card is built fr...

Bologna Benevento / Preview Bologna Vs Benevento Prediction Team News Lineups Sports Mole / Highlights bologna v benevento calcio 12 feb 21:45 ita serie a blackburn v preston north end 12 feb 21:45 eng championship

Bologna Benevento / Preview Bologna Vs Benevento Prediction Team News Lineups Sports Mole / Highlights bologna v benevento calcio 12 feb 21:45 ita serie a blackburn v preston north end 12 feb 21:45 eng championship . РÐĩÐ―Ð°Ņ‚Ðū ÐīаÐŧÐŧҌ'Ð°Ņ€Ð° (ÐąÐūÐŧÐūÐ―ŅŒŅ, ÐļŅ‚Ð°ÐŧÐļŅ), ÐēОÐĩҁ҂ÐļОÐūŅŅ‚ŅŒ: Decide lapadula, annullato il pari a svanberg | serie a tim this is the official channel for the serie a, providing all the latest highlights, interviews. Highlights bologna v benevento calcio 12 feb 21:45 ita serie a blackburn v preston north end 12 feb 21:45 eng championship Coltiva la tua passione su tuttosport. Find videos for watch live or share your tricks or get a ticket for match to live on side. Head to head statistics, team comparison, players and live score. РÐĩÐ―Ð°Ņ‚Ðū ÐīаÐŧҌ Ð°Ņ€Ð° , ÐąÐūÐŧÐūÐ―ŅŒŅ , ÐļŅ‚Ð°ÐŧÐļŅ. Bologna vs benevento important information: .to benevento how many miles and kilometers, how far is it from bologna to benevento travel if you travel with an airplane (which has average speed of 560 mi...

āđāļ­āļŠāļ•ัāļ™āļ§ิāļĨāļĨ่āļē / āļ—ีāđ€āļ”็āļ”āļšāļ­āļĨāļ§ัāļ™āļ—ี่ 30/11/63 āđ€āļ§āļŠāļ•์āđāļŪāļĄ vs āđāļ­āļŠāļ•ัāļ™ āļ§ิāļĨāļĨ่āļē āđāļĄ่āļ™āļ‚ั้āļ™āđ€āļ—āļž - āļ–่āļēāļĒāļ—āļ­āļ”āļŠāļ” āđāļ­āļŠāļ•ัāļ™ āļ§ิāļĨāļĨ่āļē āļžāļš āđ€āļšิāļĢ์āļ™āļĨี่āļĒ์ :

āđāļ­āļŠāļ•ัāļ™āļ§ิāļĨāļĨ่āļē / āļ—ีāđ€āļ”็āļ”āļšāļ­āļĨāļ§ัāļ™āļ—ี่ 30/11/63 āđ€āļ§āļŠāļ•์āđāļŪāļĄ vs āđāļ­āļŠāļ•ัāļ™ āļ§ิāļĨāļĨ่āļē āđāļĄ่āļ™āļ‚ั้āļ™āđ€āļ—āļž - āļ–่āļēāļĒāļ—āļ­āļ”āļŠāļ” āđāļ­āļŠāļ•ัāļ™ āļ§ิāļĨāļĨ่āļē āļžāļš āđ€āļšิāļĢ์āļ™āļĨี่āļĒ์ : . āđ€āļ­āļĄิāđ€āļĨีāļĒāđ‚āļ™่ āļĄāļēāļĢ์āļ•ิāđ€āļ™āļ‹, āđāļĄāļ—āļ˜ิāļ§ āđāļ„āļŠ, āđ€āļ­āļ‹āļĢี่ āļ„āļ­āļ™āļ‹่āļē, āđ„āļ—āļĢāļ­āļ™ āļĄิāļ‡āļŠ์, āđāļĄāļ•āļ•์ āļ—āļēāļĢ์āđ€āļ็āļ•āļ•์, āļ”ัāļāļĨāļēāļŠ āļĨุāļĒāļ‹์, āļˆāļ­āļŦ์āļ™ āđāļĄ็āļ„āļิāļ™āļ™์. āļ–่āļēāļĒāļ—āļ­āļ”āļŠāļ” āđāļ­āļŠāļ•ัāļ™ āļ§ิāļĨāļĨ่āļē āļžāļš āđ€āļšิāļĢ์āļ™āļĨี่āļĒ์ : āļāļēāļĢāđāļ‚่āļ‡āļ‚ัāļ™āļŸุāļ•āļšāļ­āļĨāđ€āļ­āļŸ āļ„ัāļž āļ­ัāļ‡āļāļĪāļĐ 2020/21 āļĢāļ­āļšāļŠāļēāļĄ āđāļ­āļŠāļ•ัāļ™ āļ§ิāļĨāļĨ่āļē āđ€āļ›ิāļ”āļŠāļ™āļēāļĄāļ§ิāļĨāļĨ่āļē āļžāļēāļĢ์āļ āļ—āļģāļĻึāļāļŦāļ™ัāļāļัāļšāļ—ีāļĄāļĢ่āļ§āļĄāļžāļĢีāđ€āļĄีāļĒāļĢ์āļĨีāļāļ­āļĒ่āļēāļ‡ āļĨิāđ€āļ§āļ­āļĢ์āļžูāļĨ āđāļ­āļŠāļ•ัāļ™ āļ§ิāļĨāļĨ่āļē 8 vs āļ—็āļ­āļ•āđāļ™่āļĄ āļŪ็āļ­āļ—āļŠāđ€āļ›āļ­āļĢ์ 4 | āđ€āļĢิ่āļĄāđāļ‚่āļ‡āļ‚ัāļ™ : āļŠิāļ‡āļŦ์āļœāļ‡āļēāļ” āđ€āļ็āļšāđ„āļ”้ 22 āđāļ•้āļĄ āļŦāļĨัāļ‡āļˆāļēāļāļœ่āļēāļ™āđ„āļ› 12 āđ€āļāļĄāđāļĢāļ āļ‹ึ่āļ‡āļ–ืāļ­āļ§่āļēāđ€āļ›็āļ™āļœāļĨāļ‡āļēāļ™āļĒāļ­āļ”āđ€āļĒี่āļĒāļĄāļ—ี่āļŠุāļ”āđƒāļ™āļžāļĢีāđ€āļĄีāļĒāļĢ์āļĨีāļ āđƒāļ™āļĢāļ­āļš 19 āļ›ีāļ‚āļ­āļ‡āļŠāđ‚āļĄāļŠāļĢāđ€āļĨāļĒāļ—ีāđ€āļ”ีāļĒāļ§ āļŠāđ‚āļĄāļŠāļĢāļŸุāļ•āļšāļ­āļĨāđāļ­āļŠāļ•ัāļ™ āļ§ิāļĨāļĨ่āļē āļ‚่āļēāļ§āđāļ­āļŠāļ•ัāļ™ āļ§ิāļĨāļĨ่āļē āļ‚่āļēāļ§āļžāļĢีāđ€āļĄีāļĒāļĢ์āļĨีāļ āļ­ัāļ‡āļāļĪāļĐ āļĢāļēāļĒāļŠื่āļ­āļ™ัāļāđ€āļ•āļ°āđāļ­āļŠāļ•ัāļ™ āļ§ิāļĨāļĨ่āļē āļ‚่āļēāļ§āļŸุāļ•āļšāļ­āļĨ āļĨ่āļēāļŠุāļ” āļ­ัāļžāđ€āļ”āļ—. āđ€āļ­āļĄิāđ€āļĨีāļĒāđ‚āļ™่ āļĄāļēāļĢ์āļ•ิāđ€āļ™āļ‹, āđāļĄāļ•āļ•ี้ āđāļ„āļŠ, āđ€āļ­āļ‹āļĢี่ āļ„āļ­āļ™āļ‹่āļē, āđ„āļ—āđ‚āļĢāļ™ āļĄิāļ‡āļŠ์, āđāļĄāļ•āļ•์ āļ—āļēāļĢ์āđ€āļ็āļ•āļ•์, āļ”ัāļāļĨāļēāļŠ āļĨุāļĒāļ‹์, āļˆāļ­āļŦ์āļ™ āđāļĄ็āļ„āļิāļ™āļ™์. āļ–่āļēāļĒāļ—āļ­āļ”āļŠāļ” āđāļ­āļŠāļ•ัāļ™ āļ§ิāļĨāļĨ่āļē āļžāļš āđ€āļšิāļĢ์āļ™āļĨี่āļĒ์ : āļ§ัāļ™āļžāļĪāļŦัāļŠāļšāļ”ีāļ—ี่ 17 āļ˜ัāļ™āļ§āļēāļ„āļĄ 2563 āđ€āļ§āļĨāļē : āđ€āļ­āļĄิāđ€āļĨีāļĒāđ‚āļ™่ āļĄāļēāļĢ์āļ•ิāđ€āļ™āļ‹, āđāļĄāļ—āļ˜ิāļ§ āđāļ„āļŠ, āđ€āļ­āļ‹āļĢี่ āļ„āļ­āļ™āļ‹่āļē, āđ„āļ—āļĢāļ­āļ™ āļĄิāļ‡āļŠ์, āđāļĄāļ•āļ•์ āļ—āļēāļĢ์āđ€āļ็āļ•āļ•...